നീലച്ചിത്ര താരങ്ങള് അഭിനയം നിര്ത്തുന്നു; ഗുരുതര ലൈംഗിക രോഗം; യൂറോപ്പില് വ്യാപനമെന്ന് റിപ്പോര്ട്ട്
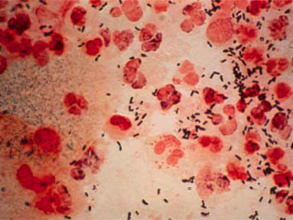
ലണ്ടന്: യൂറോപ്പിനെ ഞെട്ടിച്ച് ലൈഗിക രോഗമായ സിഫീലിസ് വ്യാപിക്കുന്നതായി റിപ്പോര്ട്ട്. നിരവധി നീലച്ചിത്ര അഭിനേതാക്കള്ക്ക് രോഗം സ്ഥിരീകരിച്ചെന്നും ഒട്ടേറെ പേര് അഭിനയം നിര്ത്തിയെന്ന റിപ്പോര്ട്ടും പുറത്തുവരുന്നുണ്ട്. ലൈംഗിക സമ്പര്ക്കത്തിലൂടെയാണ് സിഫിലിസ് പകരുന്നത്, ചര്മ്മത്തില് മുറിവുകള്ക്കും ചുണങ്ങുകള്ക്കും കാരണമാകുന്നു. അമേരിക്കയിലെ നീലച്ചിത്ര അഭിനേതാക്കളുടെ സെക്ഷ്യല് ഹെല്ത്ത് സര്ട്ടിഫിക്കറ്റുകളുടെ ഡാറ്റബേസ് സൂക്ഷിക്കുന്ന പാസ് ആണ് ഇത് സംബന്ധിച്ച റിപ്പോര്ട്ട് പുറത്തിവിട്ടത്.

ഈ രോഗം ചികിത്സിച്ചില്ലെങ്കില്, സിഫിലിസ് ഗുരുതരമായി മാറുകയും ആന്തരിക അവയവങ്ങളെയും മസ്തിഷ്ക പ്രവര്ത്തനത്തെയും നശിപ്പിക്കുകയും ഉള്പ്പെടെ ഗുരുതരമായ പ്രശ്നങ്ങള്ക്ക് കാരണമാകുമെന്നാണ് റിപ്പോര്ട്ടുകള് വ്യക്തമാക്കുന്നത്. രോഗം വ്യാപകമായി സാഹചര്യത്തില് പല താരങ്ങളും അഭിനയം നിര്ത്തിവച്ചിരിക്കുകയാണെന്ന് മുന് നടി ലിയാന് യൂങ് പറഞ്ഞു.

മികച്ച താരങ്ങള് ഇപ്പോള് കടുത്ത ആശങ്കയിലാണെന്ന് അവര് വ്യക്തമാക്കുന്നു. അവരുടെ വരുമാന മാര്ഗം ഇപ്പോള് നഷ്ടപ്പെട്ടിരിക്കുകയാണെന്നും താരം വ്യക്തമാക്കുന്നു. വെറും ഒരു ചര്മ്മ രോഗം മാത്രമല്ലിത്. സിഫിലിസിന്റെ ആദ്യ ലക്ഷണം ഒരു ചെറിയ വ്രണമാണെന്നാണ് ആരോഗ്യവിദഗ്ദര് പറയുന്നത്.

സിഫിലിസ് ഘട്ടങ്ങളില് വികസിക്കുകയാണ് ചെയ്യാറുള്ളത്. ഓരോ ഘട്ടത്തിലും ലക്ഷണങ്ങള് വ്യത്യാസപ്പെടുന്നു. വര്ഷങ്ങളോളം രോഗലക്ഷണങ്ങളൊന്നും കാണാതെ നിങ്ങള്ക്ക് സിഫിലിസ് ബാധിച്ചേക്കാം. ബാക്ടീരിയ നിങ്ങളുടെ ശരീരത്തില് പ്രവേശിച്ച സ്ഥലത്താണ് വ്രണം പ്രത്യക്ഷപ്പെടുന്നതെന്നാണ് ആരോഗ്യ വിദഗ്ദർ വ്യക്തമാക്കുന്നത്.

സിഫിലിസ് ചാന്സറുകളുമായോ വ്രണങ്ങളുമായോ നേരിട്ടുള്ള സമ്പര്ക്കത്തിലൂടെയാണ് സിഫിലിസ് പകരുന്നത്. ഈ വ്രണങ്ങള് വികസിക്കുന്നതിന് പ്രവണതയുണ്ട്. സിഫിലിസ് പ്രാഥമികമായി ലൈംഗികമായി പകരുന്നത്. ലൈംഗികതയിലൂടെയോ അല്ലെങ്കില് നേരിട്ട് ജനനേന്ദ്രിയത്തില് നിന്ന് ജനനേന്ദ്രിയത്തിലേക്കുള്ള സമ്പര്ക്കത്തിലൂടെയോ പകരാം.

രോഗം ചികിത്സിക്കാതെ നീണ്ടു പോകുമ്പോഴാണ് ഗുരുതരമാകുന്നത്. ഹൃദയം, സൂഷമ്നനാഡി, ആന്തരീകാവയവങ്ങള് എന്നീ പ്രധാനപ്പെട്ട അവയവങ്ങളെയാണ് ഇത് ബാധിക്കുന്നത്. ഗര്ഭിണികളില് നിന്ന് ഗര്ഭസ്ഥശിശുവിലേക്ക് പകരാവുന്ന രോഗം നവജാത ശിശുവില് വൈകല്യങ്ങള്ക്ക് കാരണമായേക്കാം.

രോഗത്തിന്റെ പ്രാരംഭഘട്ടത്തിലാണ് രോഗവ്യാപനം അതിതീവ്രമാകുന്നത്. രോഗലക്ഷണങ്ങള് ഉള്ളവരോ രോഗബാധിതരായവരോ ഉടന് തന്നെ ത്വക്ക് രോഗ വിദഗ്ദരെ സമീപിച്ച് പരിശോധനകള്ക്കും ചികിത്സ ആവശ്യമാണെങ്കില് വിധേയരാകണമെന്നും ആരോഗ്യ വിദഗ്ദര് മുന്നറിയിപ്പ് നല്കുന്നു.

രോഗത്തിന്റെ ഘട്ടങ്ങല് അനുസരിച്ചാണ് ഈ രോഗത്തിന് ചികിത്സ. ഫലപ്രദമായ ആന്റിബയോട്ടിക് ചികിത്സ ലഭ്യമാണ്. പെനിസിലിന് വിഭാഗത്തില്പ്പെട്ട മരുന്നുകാളാണ് കൂടുതലായും ഉപയോഗിക്കുന്നത്. ഗര്ഭാവസ്ഥയില് രോഗം കൃത്യമായ പരിശോധന നടത്തിയ കണ്ടെത്തുകയാണെങ്കില് നവജാത ശിശുവില് രോഗബാധ തടയുന്നത് ഒഴിവാക്കാം.

പരിശോധനകള് നടത്തുന്നതിന് രക്ത സാമ്പിള് എടുക്കും, കൂടാതെ സമഗ്രമായ പരിശോധനയും നടത്തും. ഒരു വ്രണമുണ്ടെങ്കില്, സിഫിലിസ് ബാക്ടീരിയ ഉണ്ടോ എന്ന് നിര്ണ്ണയിക്കാന് അവര് വ്രണത്തില് നിന്ന് സാമ്പിള് എടുത്തേക്കാം. നിങ്ങള്ക്ക് നാഡീവ്യവസ്ഥയുടെ പ്രശ്നങ്ങളുണ്ടെന്ന് നിങ്ങളുടെ ഡോക്ടർ സംശയിക്കുന്നുവെങ്കില്, ഒരു ലംബര് പഞ്ചര് അല്ലെങ്കില് സ്പൈനല് ടാപ്പ് എന്നീ ചികിത്സാ രീതികൾ ആവശ്യമായി വന്നേക്കാം.
-
സ്വര്ണം 'പറ്റിക്കല്' തുടരുന്നു.. ഇന്ന് വീണ്ടും വില കൂടി, തിരികെ കയറി തുടങ്ങിയോ? ഗ്രാം, പവന് വില അറിയാം -
മഞ്ജു വാര്യർ പറയുന്നു, 'സ്ഥാനാർത്ഥിത്വം വാഗ്ദാനം ചെയ്ത് വന്നിട്ടുണ്ട്',ഇനി രാഷ്ട്രീയത്തിലേക്കോ?മറുപടി -
'വിനീതാണ് അമ്മയ്ക്ക് മൊബൈൽ ഫോൺ വാങ്ങിച്ചു കൊടുത്തത്, അത് എനിക്ക് പാരയായി';എം മോഹനൻ്റെ കുറിപ്പ് -
ശനിയും സൂര്യനും ഒന്നിക്കുന്നു; ഈ നക്ഷത്രക്കാരുടെ ഭാഗ്യം തെളിയും, കടം കൊടുത്ത പണം കിട്ടും, പ്രണയം പൂവണിയും! -
ആഗ്രഹിക്കുന്നതെല്ലാം നടക്കും... ഈ രാശിക്കാരുടെ ശുക്രനുദിച്ചു, നിങ്ങളുമുണ്ടോ? -
'പക്വത ഇല്ല,ഭർത്താവിനുള്ള പിന്തുണ തനിക്കും കിട്ടുമെന്ന തെറ്റിധാരണ,ആര്യ രാജേന്ദ്രന് വിനയായത് ഇതൊക്കെ' -
വീണ്ടും ലോക്ക്ഡൗണോ? വ്യക്തത വരുത്തി കേന്ദ്ര സര്ക്കാര്, എന്തും നേരിടാന് സജ്ജം -
യുഎഇയിൽ വ്യാപകമായ മഴ, കൂട്ടിന് ഇടിമിന്നലും ശക്തമായ കാറ്റും; കാരണം ന്യൂനമർദ്ദം, ഡ്രൈവർമാർ ജാഗ്രത! -
10 എണ്ണ ടാങ്കറുകൾ ഹോർമുസ് വഴി കടത്തിവിട്ടു; ഇറാൻ്റെ 'രഹസ്യ സമ്മാനം',വെളിപ്പെടുത്തി ട്രംപ് -
എല്ലാ ആഴ്ചയിലും ഒരു ഗ്രാം പൊന്ന്! കൊച്ചിക്കാരെ പോലെ സ്വര്ണം വാങ്ങി നോക്കിയാലോ? -
പെന്ഷന് 25740 രൂപയായി വര്ധിക്കും? 186% വര്ധനവ്, ശമ്പള കമ്മീഷന് ശുപാര്ശ ഇങ്ങനെയോ? -
കൊടുവള്ളിയിൽ പികെ ഫിറോസിന് കാര്യങ്ങൾ എളുപ്പമാവില്ല; സലീം മടവൂർ തിളങ്ങുമോ? 13 സ്ഥാനാർത്ഥികൾ രംഗത്ത്












Click it and Unblock the Notifications