അഞ്ച് സെക്കന്റിനുള്ളില് കൊറോണയെ കണ്ടെത്താം, പുത്തന് സാങ്കേതികവിദ്യയുമായി ഒരു ഇന്ത്യക്കാരന്
ദില്ലി: കൊറോണ വൈറസ് പടര്ന്നുപിടിക്കുന്ന പശ്ചാത്തലത്തില് ലോകം മുഴുവന് ഭീതിയില് കഴിയുകയാണ്. ഇതനിടെ മിക്ക രാജ്യങ്ങളും കൊറോണ വൈറസിനെ കണ്ടുപിടിക്കാനുള്ള പുതിയതും ഫലപ്രദവുമായ മാര്ഗങ്ങള് കണ്ടുപിടിക്കാനുള്ള തിരക്കിലാണ്. നിലവിലുള്ള മാര്ഗങ്ങള് സമയമെടുക്കുന്നതു മൂലം പ്രതിരോധപ്രവര്ത്തനങ്ങളെ കാര്യമായി ബാധിക്കുന്നുണ്ട്.
Recommended Video
സ്രവങ്ങള് അയച്ച് പരിശോധന ഫലം വരുന്നതിന് വലിയ സമയം എടുക്കുന്നുണ്ട്. റാപ്പിഡ് ടെസ്റ്റിംഗ് കിറ്റുകള് ഉപയോഗിക്കുന്നുണ്ടെങ്കിലും കൃത്യമായ ഫലം ഇതിലൂടെ ലഭിക്കുന്നല്ലെന്ന ആക്ഷേപവം നിലനില്ക്കുന്നുണ്ട്. കഴിഞ്ഞ ദിവസം ഐസിഎംആര് റാപ്പിഡ് ടെസ്റ്റിംഗ് കിറ്റുകള് ഉപയോഗിച്ചുള്ള പരിശോധന നിര്ത്തിവയ്ക്കാന് ഉത്തരവിട്ടിരുന്നു. എന്നാല് ഇപ്പോഴിതാ സെക്കന്റുകള്ക്കുള്ളില് സമയമെടുത്ത് കൊറോണ വൈറസിനെ കണ്ടെത്താമെന്ന് അവകാശവാദവുമായി രംഗത്തെത്തിയിരിക്കുകയാണ് ഒരു ഐഐടി പ്രൊഫസര്.

പുതിയ കൊറോണ ടെസ്റ്റ്
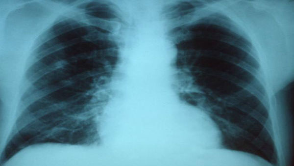
ഐഐടി റൂര്ക്കിയിലെ പ്രൊഫസര് കമല് ജെയിനാണ് പുതി കൊവിഡ് ടെസ്റ്റ് ചെയ്യാനുള്ള സൗകര്യം വികസിപ്പിച്ചെടുത്തത്. കൊറോണ വൈറസ് പരിശോധനയ്ക്ക് വിധേയമാക്കുന്നയാളുടെ എക്സറേയില് നിന്ന് മൂന്ന് മുതല് അഞ്ച് സെക്കന്റുകള്ക്കുള്ളില് വൈറസിനെ കണ്ടെത്താനാകുമെന്നാണ് അദ്ദേഹം വാദിക്കുന്നത്. നിര്മ്മിത ബുദ്ധി ഉപയോഗിച്ചാണ് ഇത് കണ്ടുപിടിക്കുന്നതെന്നും അദ്ദേഹം വാദിക്കുന്നു.

60000 എക്സറേ
കൊറോണ വൈറസിനെ കണ്ടെത്തുന്നതിനായി നിര്മ്മിത് ബുദ്ധിയെ പരിശീലിപ്പിക്കാന് 60000ല് അധികം നെഞ്ചിന്റെ എക്സറേകള് ഉപയോഗിച്ചെന്ന് കമല് പറയുന്നു. നെഞ്ചിനുള്ളിലെ വിതാനം മനസിലാക്കി നിര്മ്മിത ബുദ്ധി കൊറോണ വൈറസ് ഉണ്ടോ എന്ന് മനസിലാക്കുമെന്നും കമല് വാദിക്കുന്നു. താന് വിശകലനം ചെയ്ത സാമ്പിള് കേസുകളില് സാധാരണ മരണകാരണം കടുത്ത ന്യൂമോണിയയാണ്.

ന്യുമോണിയ
ന്യൂമോണിയ പലതരത്തിലുണ്ട്. മിക്കതരം ന്യമോണിയ രോഗികളെും ആശുപത്രിയില് പ്രവേശിപ്പിച്ചാല് ഭേദമാകും. എന്നാല് കൊവിഡ് മൂലമുണ്ടാകുന്ന ന്യൂമോണിയ കഠിനമാണ്. ശ്വാസകോശത്തെ ചെറിയ ഭാഗത്തിന് പകരം എല്ലാ ഭാഗങ്ങളിലും ഇത് ബാധിക്കുമെന്ന് കമല് പറയുന്നു. ഉഭയകക്ഷി അതാര്യത തിരിച്ചറിയുക, ശ്വാസകോശത്തില് ദ്രാവകം കെട്ടിപ്പടുക്കുന്ന രീതി, ക്ലമ്പുകളുടെ സ്വഭാവം, അതിന്റെ മൊത്തത്തിലുള്ള ക്രമീകരണം എന്നിവയാണ് കൊവിഡിനെ തിരിച്ചറിയാന് സാധിക്കുന്ന പ്രധാനഘടകം. എന്നാല് ഈ ഡോക്ടര്മാര്ക്ക് സമയവും പരിചയ സമ്പത്തും ആവശ്യമാണ്. തങ്ങളുടെ നിര്മ്മിത ബുദ്ധി ആപ്ലിക്കേഷനുപയോഗിച്ച് പാറ്റേണുകളെ സമയബന്ധിതമായി തരംതിരിക്കാന് കഴിയുമെന്നും കമല് അവകാശപ്പെടുന്നു.

മിനിറ്റുകള്ക്കകം
ലക്ഷക്കണക്കിന് എക്സറേ ഇമേജുകള് പ്രോസസ് ചെയ്യാനും കൊറോണ അണുബാധയുടെ തോത് അനുസരിച്ച് ഒരു രോഗിയെ തരം തിരിക്കാനും ഏത് രോഗിയെ ആദ്യം വെന്റിലേറ്ററില് പ്രവേശിപ്പിക്കണമെന്ന് മനസിലാക്കാന് ആരോഗ്യപ്രവര്ത്തകരെ സഹായിക്കുകയും ചെയ്യുമെന്നും കമല് പറയുന്നു.

അംഗീകാരമില്ല
അതേസമയം, നിര്മ്മിത ബുദ്ധി ഈ കാലഘട്ടത്തില് സഹായിക്കുന്ന ഒരു മാര്ഗമാണെങ്കിലും ഇതിന് ഐസിഎംആറിന്റെ അംഗീകാരം ഇതുവരെ ലഭിച്ചില്ല. ലോകത്തെ ഒരു മെഡക്കല് സ്ഥാപനങ്ങളും ഈ സംവിധാനത്തെ അംഗീകരിച്ച് രംഗത്തെത്തിയിട്ടില്ല.
-
നാഷണൽ ഇൻഫോർമാറ്റിക്സ് സെൻ്ററിൽ 243 ഒഴിവ്; 1.77 ലക്ഷം വരെ ശമ്പളം..അപേക്ഷിക്കാം -
നിറ്റ്കോണ് ലിമിറ്റഡിൽ എഞ്ചിനയർമാരുടെ 100 ഒഴിവ്; അപേക്ഷിക്കേണ്ടത് ഇങ്ങനെ -
കൊച്ചിക്കാർക്ക് ഇനി അൽപ്പം ആശ്വസിക്കാം; വൈറ്റില ജംഗ്ഷനിലെ ഗതാഗത കുരുക്ക് പരിഹരിക്കാൻ ഇടപെടൽ -
സ്വർണ വില പവന് 42,000 രൂപ വരെ ഉയരും? ഒറ്റയടിക്ക് പ്രവചനം തിരുത്തി വിദഗ്ധർ..40 ശതമാനം വർധനവ് -
സ്വര്ണവില ഇടിഞ്ഞു; ആഭരണം വാങ്ങുന്നവര് എത്ര രൂപ നല്കണം? അറിയാം ഇന്നത്തെ പവന്, ഗ്രാം വില -
പുതിയ വീട് വാങ്ങാൻ സാധിക്കും, സാമ്പത്തിക ഇടപാടുകൾ സൂക്ഷിക്കുക, തൊഴിലിൽ നഷ്ടം, സാമ്പത്തിക വാരഫലം -
മഞ്ജു വാര്യരുടെ ഇൻസ്റ്റഗ്രാമിൽ ദിലീപിൻ്റെ മുഖം;ഡിവോഴ്സ് ആയതിന് ശേഷം ആദ്യം..കാരണം -
ബാങ്കിൽ പോകാൻ ഇരിക്കുന്നവർ ശ്രദ്ധിക്കുക; ഏപ്രിലിൽ പകുതിയോളം ദിവസം ബാങ്ക് അവധി; ലിസ്റ്റ് ഇതാ! -
സ്വർണ വില ഇനി പരമാവധി പോയാൽ 1.10 ലക്ഷം വരെ..ഈ വർഷം 2 ലക്ഷമൊന്നും ആകില്ല; പ്രവചനം -
രഞ്ജിത്തിനെതിരെ ഇത് മൂന്നാമത്തെ പീഡനക്കേസ്; രക്ഷപ്പെടാനുള്ള നീക്കം പാളി, ഒടുവിൽ പോലീസ് കുടുക്കി -
പാലക്കാട് രമേഷ് പിഷാരടി തൂക്കും, തൃത്താല ബൽറാം തിരിച്ച് പിടിക്കും, ശോഭ പിന്നെയും തോൽക്കും, മനോരമ സർവ്വേഫലം -
'500 രൂപയില് തുടങ്ങിയ പിഷാരടി ദിവസവും ഒന്നര ലക്ഷം വാങ്ങാന് ആരംഭിച്ചു'; ആ വളര്ച്ച അസൂയാവഹം












Click it and Unblock the Notifications